Cabinet dentaire du Dr SEKSIK Gérald
Chirurgien-dentiste
ACCUEIL
NOTRE CABINET
OÙ SOMMES-NOUS
INFOS PATIENT
VIDÉOS 3D
URGENCES
CONTACTEZ-NOUS
1ER RDV
15 rue Maurice Berteaux, 92130 ISSY LES MOULINEAUX
+33 1 41 90 00 44
Cabinet dentaire du Dr SEKSIK Gérald
Chirurgien-dentiste
ACCUEIL
NOTRE CABINET
OÙ SOMMES-NOUS
INFOS PATIENT
VIDÉOS 3D
URGENCES
CONTACTEZ-NOUS
1ER RDV
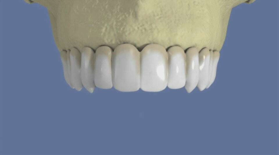
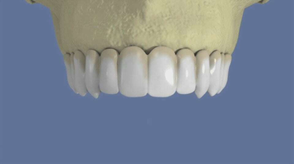
Maxillaire : bridge vissé sans fausse gencive
Vidéos 3D
Partager
Twitter
Partager
Partager
Envoyer
Copier
Cabinet dentaire du Dr SEKSIK Gérald
15 rue Maurice Berteaux
92130
ISSY LES MOULINEAUX
+33141900044
Politique de confidentialité et charte cookie
Mentions légales
Conditions Générales Utilisation
Charte déontologique
Ordre national
Annuaires chirurgiens dentistes
Lundi
9h30 - 19h30
Mardi
9h30 - 19h30
Mercredi
Fermé
Jeudi
9h30 - 19h30
Vendredi
9h30 - 16h
Samedi
Fermé
Dimanche
Fermé
Création par
Connexion