Cabinet dentaire du Dr SEKSIK Gérald
Chirurgien-dentiste
15 rue Maurice Berteaux, 92130 ISSY LES MOULINEAUX
+33 1 41 90 00 44

Blog - Page 11

Mandibule complète et traitement implantaire pour un bridge fixe scellé

Mandibule complète et traitement implantaire pour un bridge fixe scellé

Eclaircissement ambulatoire

Eclaircissement ambulatoire

Comblement de sinus par voie latérale (sinus lift) avec implantation différée

Comblement de sinus par voie latérale (sinus lift) avec implantation différée

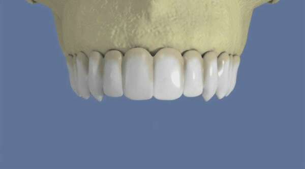
Maxillaire : bridge vissé sans fausse gencive

Maxillaire : bridge vissé sans fausse gencive

Le traitement non chirurgical de la parodontite

Le traitement non chirurgical de la parodontite

Traitement orthodontique esthétique par gouttières

Traitement orthodontique esthétique par gouttières

Affichage des articles 61-66 sur 143

Création par Webdentiste

Connexion